Sol Baskısı

22 Kas 2025 - 23:59 YAYINLANMA
İnsan bedeninin yapısına ilişkin bazı gerçeklikler, deneyimden önce kabul ettiğimiz ve dünyayı anlamlandırma biçimimizi zorunlu olarak belirleyen a priori veriler…
Yani deneyimden bağımsız…
Kalbin solda oluşu, her ne kadar biyolojik bir gelişim sürecinin ürünü olsa da, insanın kendi varlığını kavrama deneyiminde öyle temel bir yer tutar ki, fenomenolojik düzeyde neredeyse önsel bir bilgi gibi davranır: İnsan, kendini kalbiyle düşündüğünde onu “solda” hisseder; sol taraf yaşamın sarsıntılarını, acılarını ve ritmini taşıyan taraf olur. Bu yüzden “kalbin solda olması” yalnızca anatomik bir gerçek değil, aynı zamanda bedenin kendini örgütleme tarzına dair zorunlu bir yol gibi görünür.
Ancak bu görünüş, biyolojinin teknik gerçekliğiyle çelişmez; aksine onu anlamamızı sağlar…
İnsan organizması simetrikmiş gibi görünse de gerçekte asimetrik bir yapı!
Karaciğerin sağda, midenin solda, sağ akciğerin üç, sol akciğerin iki loblu olması gibi yerleşimler, bedenin kendini düzenlerken zorunlu bir iç ilkeyle hareketi gibi!.
Bu ilke, Kant’ın bahsettiği türden bir “transendental düzen” değil de sanki asimetrinin organizmayı mümkün kılan ön koşulu.. Kalbin solda oluşu, bu “asimetrinin” en görünür hali. Bu durum rastlantıdan çok “içsel bir organizasyon” yasası olduğunu düşündürtür.. Çünkü beden, gelişimin daha ilk aşamalarında bile sağ-sol ayrımını sadece mekânsal değil, işlevsel bir çizgi gibi belirler. Kalp, embriyonik gelişimde basit bir tüp olarak başlar. Bu tüp, neredeyse tüm omurgalılarda sağa doğru kıvrılır — bu süreç “d-looping” olarak adlandırılır. Bu kıvrılma, sadece fiziksel bir dönüş değildir; organizmanın iç mekânının düzenini belirleyen ontolojik bir hareket gibi. D-looping gerçekleşmese, kalp dört odacıklı yapısına kavuşamaz ve dolaşım sistemi kurulamaz. Yani kalbin sola yaslanması, sadece sonuç değil, organın var olması bu sayede mümkün.. Bu nokta, kalbin konumunu fenomenolojik olarak a priori kılan düşünceyle buluşur: Sol tarafta kalp var olduğu için değil; kalbin o yeri alması kendini ve yaşamın kendisini mümkün kıldığı için “sol” anlam kazanır. :))) Bu teknik yerleşim, organizmanın verimliliğini maksimize eden bir mühendislik zorunluluk! Ancak felsefenin diliyle ifade edildiğinde, bu zorunluluk, bedenin kendi iç düzenini kurarken yaptığı bir önsel mimari seçim gibi . İnsan, kalbini düşünürken onu daima “solda” hisseder. Bu hissediş, biyolojiden bağımsızdır; yönlendirici bir aprioride bulunur.
Sol yanım acıyor” deriz.
Elimizi heyecanlanınca sol göğsümüze götürürüz.
Aşk, keder, korku… hepsini bedenin sol tarafında yoğun hissederiz.
Ee hal böyle olunca; Anatomik sol, duygusal sol ile birleştiğinde kalbin yeri sadece fizyolojik değil, varoluşsal bir hakikat olur. Omurgalıların çoğunda kalp, benzer bir şekilde orta hattan sola kayar. Bunun evrimsel açıklaması var! Ne? Dolaşım sisteminin büyük damarları belli bir sırayla oluşur.Bu sırayla oluşan damarlar, kalbin en uygun pozisyonunun hafif sol olduğunu belirler.Sol-dominant konum, enerji kaybını azaltır, oksijenlenmeyi artırır. Bu düzen, milyonlarca yıllık seçilim baskısı ile korunmuş..
Sol Baskısı yaşamı belirler :)) Burada felsefi bir soru soralım?
Evrimsel zorunluluk mu önce gelir, yoksa zorunluluğu mümkün kılan yapı mı? Bedenin geometrisi bir kez belirdiğinde, artık başka türlü olamaz. Bu anlamda sol konum, bir tür doğal a priori gibi işler.
Kalbin solda olması, hem biyolojik bir zorunluluk hem deneyimsel bir önsel gerçektir. Teknik detaylar, embriyonik kıvrılma, damarların yerleşimi ve organların hacmi gibi somut mekanizmalarla açıklayabildim.. Fakat insanın kendini bedeni aracılığıyla kurduğu dünyada, bu teknik zorunluluk felsefi bir zorunluluk olmayabilir :))
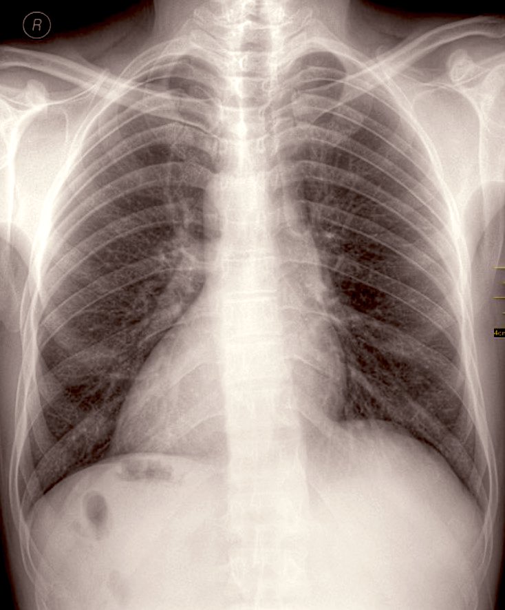
Kalp soldadır çünkü solda olması yaşamın mümkün olmasının koşuludur — hem biyolojik hem fenomenolojik anlamda. Şimdi soru şu? Resime bakın..
Kalbiniz solda mı?
 

YORUMLAR

Maksimum karakter sayısına ulaştınız.

Kalan karakter: